[※ 본 이미지는 연세화이트치과 환자분의 동의를 받아 촬영 및 게시된 사진입니다. 동일한 질환이라도 개인의 구강 상태와 치아 구조, 염증 정도 등에 따라 치료 방법 및 결과, 부작용에는 차이가 있을 수 있습니다. 본 내용은 의료법 제56조 제1항을 준수하여 작성된 의료 정보 제공 목적의 콘텐츠입니다.]

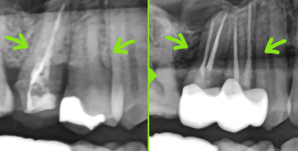
타 치과 신경치료 후 약 6개월이 지난 시점에서
뿌리 끝 염증이 남아 있어 잇몸뼈가 녹은 채로 내원.
재신경치료 진행하였으며,
재신경치료 후 6개월이 지난 시점 사진에서
이전에 보이던 뿌리 주변 염증이 사라지고,
녹았던 잇몸뼈가 다시 차오른
모습을 확인할 수 있었습니다.


재신경치료 후 6개월 경과한 케이스입니다.
치료 전 크게 보이던 잇몸뼈가 녹았던 부위가
점차 차오르는 회복 양상이 확인되고 있습니다.

타 치과에서 재신경치료를 진행했으나
실패하여 내원한 케이스입니다.
본원에서 재신경치료로
내원하신 당일 치료를 마무리했으며,
6개월 후 검사에서 염증 범위가 크게 감소하고
통증도 사라진 상태가 확인되었습니다.


재신경치료 후 3개월 경과 사진들입니다.
뿌리 주변 염증 범위가 감소하고
안정적인 회복 경과가 확인되었습니다.

치근단절제술 후 3개월 경과 사진입니다.
통증 감소 및 안정적인 회복 양상 보이셨습니다.


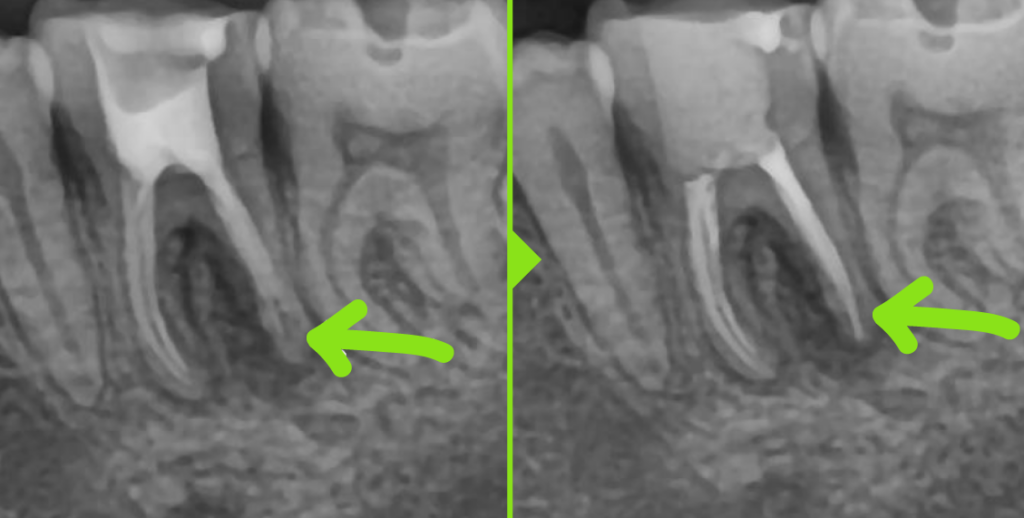
재신경치료 직후 촬영한 엑스레이 사진들입니다.
치과용 재료가 신경관 끝까지 밀도 있게 충전된 모습입니다.


답글 남기기